Warum ist Automatisierung so wichtig?
Automatisierung ermöglicht die automatisierten Tätigkeiten entspannt, mit wenig bewusster Aufmerksamkeit (dadurch mit einem Gefühl von Leichtigkeit) und nahezu fehlerfrei auszuführen.
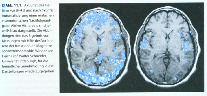
Automatisierung hat eine Steigerung der Verarbeitungsgeschwindigkeit im Gehirn von 1000% bis 2000% zur Folge und ermöglicht damit eine ungeheure Kapazitätserweiterung. („Positiv lernen“ Jansen und Streit / Seite 88)

Diese Abbildung ist mit freundlicher Genehmigung entnommen aus „Positiv lernen“ von Jansen/Streit Seite 87
Kreativität setzt die Automatisierung grundlegenden Wissens voraus, weil erst mit der Automatisierung genügend Kapazität für Kreativität im Gehirn frei wird.
Wer darauf verzichtet bestimmte Dinge bis zur Automatisierung zu erlernen blockiert sich und seine Möglichkeiten selbst und völlig unnötig.
Einige Beispiele für Automatisierungen finden Sie hier:
- Ein Baby lernt laufen – eine völlig unbewusste Automatisierung
- Wie lernt jemand Auto fahren?
- Beispiele aus dem Alltag
Mit diesen Beispielen kann nur in etwa umrissen werden, wie die Zusammenhänge sind, denn sie in jedem Detail darstellen zu wollen macht sie langweilig und würde diesen Rahmen sprengen.
Einige Beispiele (keinesfalls vollständig) was automatisiert werden sollte:
- alle Bewegungsabläufe, die für das tägliche Leben notwendig sind,
- Buchstaben und grundlegende Lesefertigkeiten,
- Bedeutungen von den gebräuchlichen Worten der jeweiligen Sprache, um ein Leseverständnis zu erreichen,
- Regeln der Grammatik und deren Anwendung,
- Vokabeln und Grammatik von Fremdsprachen,
- erst dann ist freies Sprechen möglich,
- Zahlen,
- die Grundrechenarten in ihrem Ablauf,
- die Grundrechenaufgaben im Additions- und Subtraktionsbereich bis 20,
- die Grundrechenaufgaben im Multiplikations- und Divisionsbereich bis 100,
- wer ein Instrument spielen möchte muss die Griffe und die Handhabung des Instrumentes automatisieren, bevor er virtuos spielen kann.
Zusammenfassend lässt sich sagen, alles was wir mit Leichtigkeit können wollen,
müssen wir bis zur Automatisierung lernen,
heißt erst einmal verstehen und dann genügend häufig wiederholen.
